Estética Dental
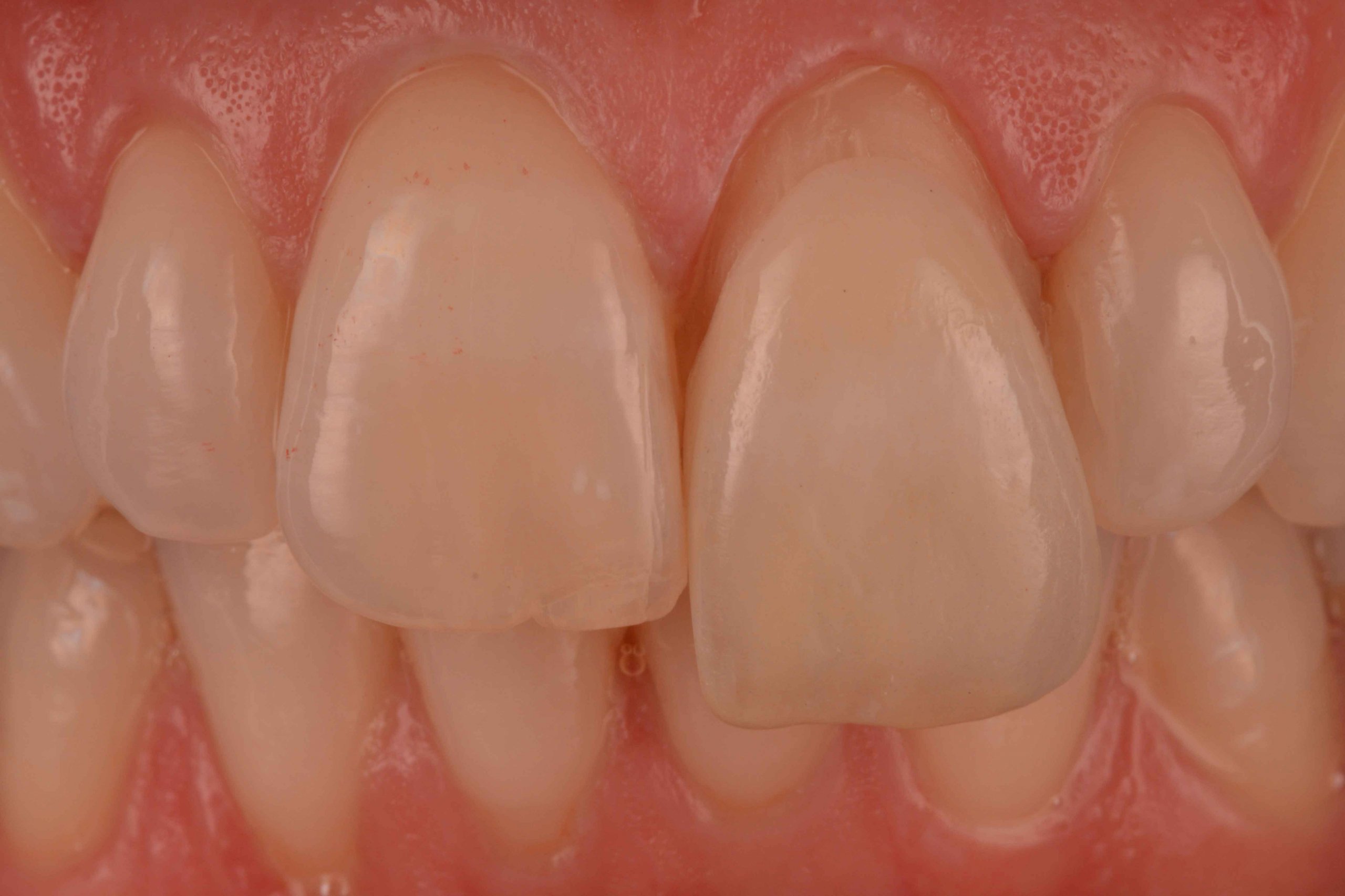
Lentes de contacto
Las lentes de contacto en cerámica son el tratamiento estrella en estética dental.
En la mayoría de los casos se realizan sin tocar el diente natural. Estética perfecta y resultados duraderos y naturales.
En Fm.smiles, apostamos solo por los mejores materiales y los mejores técnicos dentales del país, y los resultados son realmente impresionantes.


