Te dejo unos TIPS para saber como estratificar correctamente en estos casos complejos

El diente oscurecido es la pesadilla de los que trabajamos en estética dental.
Nunca llegamos a cubrir perfectamente y copiar el diente contralateral, y aunque el paciente quede completamente satisfecho (raras veces) nosotros no lo estamos..
Aquí os quiero dejar algún TIP para usar el COMPOSITE correctamente para enmascarar el color (o al menos intentarlo)
Índice de contenidos
- Planificación y mapeo del diente:
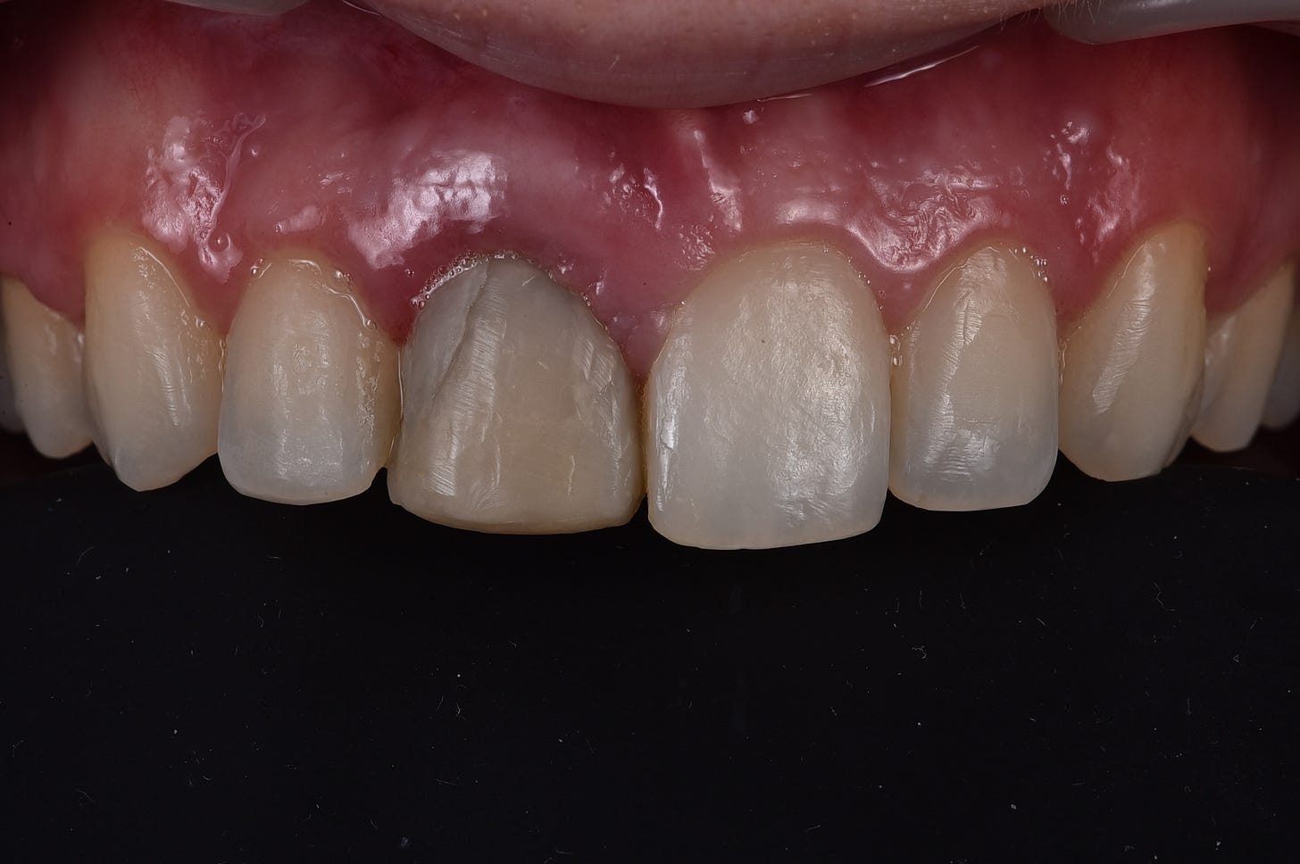
- Realiza una evaluación previa del nivel de oscurecimiento.No es lo mismo un diente gris que un diente marrón, o a veces te encuentra un diente demasiado blanco!El consejo mio es claramente distinguir a que nivel se ha teñido el diente: si es algo interno (debido a una reacción pulpar) deberías intentar con un blanqueamiento previo, por otro lado se un diente que se ha oscurecido poco a poco, lo ideal es lo que tenemos pensado: usar el composite.
- En función de ello, decide si usarás un opaque o una capa intermedia más densa antes de la restauración estética.*Ejemplo de diente sin vitalidad, con perdida de la translucidez y aumento de la opacidad (+blanco)Suscríbete ahora
- Uso de Composites Opacos o Dentinarios:
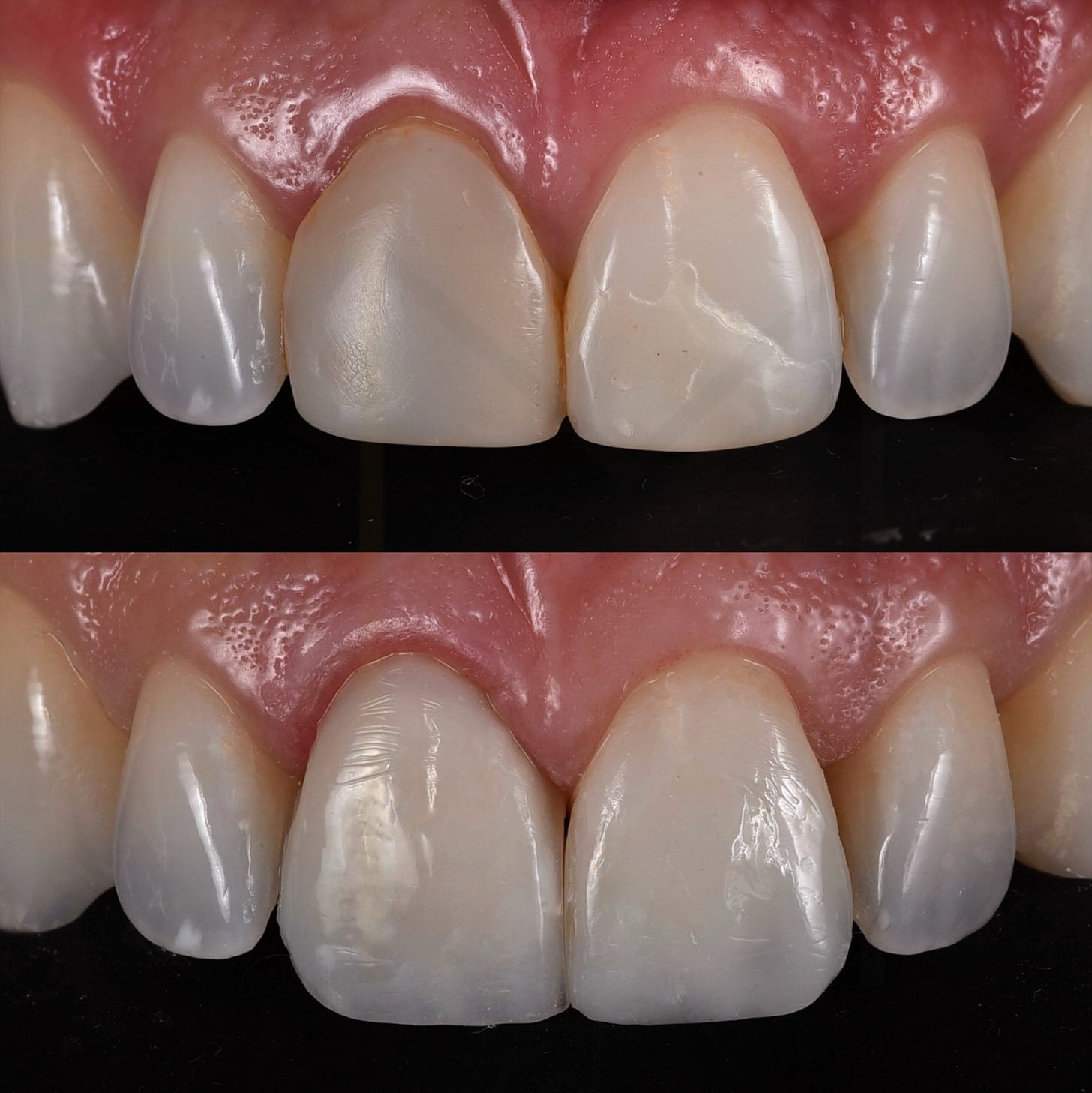
- Capas de composite opaco o dentinario: Comienza con una capa de composite opaco o dentinario que cubra el fondo oscuro. Estos materiales tienen mayor opacidad y bloquean la oscuridad subyacente. Utiliza capas finas, entre 0.5-1 mm, y añade más capas si es necesario para bloquear la oscuridad.
- Para un mayor control, aplica capas finas y prueba la efectividad de la opacidad antes de continuar. No es indispensable llegar al tono final deseado, pero es importante que no trasparente el negro/gris del substrato.
- Con la salida al mercado de las nuevas dentinas opacas fluidas, una buena opción podría ser el uso de latécnica inyectada para la dentina como te contaba en este articulo.

*Aplicación de una Dentina Opaca (3M filete supreme) para enmascarar el substrato.
- Aplicación de Composites body y translucidos:
- Si es un diente con muchos efectos necesitarás dejar espacio para un body o esmalte cromático, en estos casos ten siempre en cuenta que es mejor una preparación más agresiva para tener el espacio suficientes.
- Capas de composite translúcido o de esmalte: Una vez bloqueado el fondo oscuro, aplica una capa translúcida de composite de esmalte para lograr el efecto estético deseado. Mantén un espesor controlado, de 0.5 mm para evitar exceso de material.
- Incremental Build-up:
- Aplica el composite en pequeñas cantidades y distribúyelo en capas finas. Esta técnica incremental te permitirá evitar acumulaciones indeseadas de material.
- Uso de guías de silicona o matrices:
- Utiliza guías de silicona transparentes o matrices para tener un control más preciso del grosor durante la aplicación, asegurando que no sobrepases el volumen planeado.
- Ajustes finales y acabado:
- Durante el pulido, verifica que no haya puntos de sobrecarga en las zonas proximales, oclusales o en el margen gingival. Retira el exceso sin comprometer la estética. Es muy importante que el pulido sea controlado y que las formas sean las final tras el proceso de adición, de esta manera evitaremos exposiciones de las capas internas.


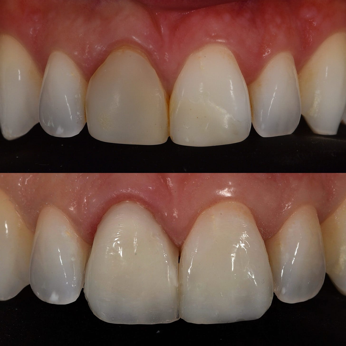
*resultado final de recubrimiento con composite, foto con twins y comprobación con filtro polarizado.
¿Te sientes inseguro sobre este tema?
¿Quieres aprender más sobre como solucionar el diente oscuro?
Tienes el CURSO ONLINE de “TRATAMIENTO INTEGRAL del DIENTE OSCURO”
A TU RITMO: 1 año a partir de la fecha de compra.





