Se trata de técnicas mínimamente invasivas para eliminar manchas extrínsecas e intrínsecas pero en algunos casos clínicos no te aconsejo usarlas.
¿En que se diferencian ICON y OPALUSTRE?
Índice de contenidos
Tanto Opalustre como Icon son productos utilizados en odontología estética para tratar y mejorar la estética de los dientes, pero tienen diferencias significativas en cuanto a sus aplicaciones y cómo funcionan:
- Objetivos de tratamiento:
- Opalustre: Se utiliza principalmente para eliminar manchas superficiales, decoloraciones leves y pequeñas irregularidades en la superficie dental, especialmente en restauraciones de composite o cerámica.

- Icon: Está diseñado específicamente para tratar lesiones incipientes de caries o manchas blancas en los dientes. Actúa infiltrando y deteniendo la progresión de estas manchas sin la necesidad de perforar o eliminar tejido dental.
Hemos hablado a fondo de ICON en este ARTICULO

- Aplicación:
- Opalustre: Se aplica mediante puntas de goma o cepillos impregnados con el compuesto abrasivo, realizando movimientos de pulido sobre la superficie dental afectada.
- Icon: Requiere una técnica específica de aplicación, que implica la limpieza y secado del área afectada, seguido por la aplicación de soluciones ácidas y resinas especiales para infiltrar y sellar las manchas blancas.
- Indicaciones clínicas:
- Opalustre: Se usa para tratar manchas superficiales y decoloraciones menores en la superficie dental.
- Icon: Está indicado para tratar lesiones incipientes de caries, manchas blancas por desmineralización del esmalte y para mejorar la estética de estas manchas sin la necesidad de procedimientos invasivos.
En resumen, mientras que Opalustre se centra en el pulido y eliminación de manchas superficiales y decoloraciones menores, Icon se utiliza específicamente para detener y mejorar la apariencia de manchas blancas incipientes en los dientes, sin necesidad de procedimientos invasivos.
Hasta aquí parecen técnicas adaptas a muchos casos clínicos pero hay que tener en cuenta lo que te voy a contar en los siguientes apartados.
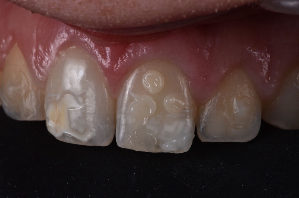
1. MANCHAS MUY PROFUNDAS
La verdad que es realmente complicado diagnosticar una mancha blanca sin poder cortar el dientes en lonchas.
Vamos a repasar un poco que son estas manchas blancas:
Las manchas blancas en los dientes pueden ser el resultado de varias causas, como desmineralización del esmalte dental, caries incipientes, fluorosis, remineralización irregular o incluso genética. Reconocer las manchas blancas dentales profundas y determinar su causa puede requerir la evaluación de un dentista. Aquí hay algunos aspectos a considerar:
- Color y apariencia: Las manchas blancas pueden variar en tonalidad y apariencia. Algunas pueden ser más opacas o prominentes que otras. Las manchas más profundas pueden tener un aspecto más sólido o no responder a la limpieza normal o al cepillado.
- Textura: Las manchas blancas profundas pueden sentirse rugosas o ásperas al tacto. Esto puede ser un signo de desmineralización del esmalte o de lesiones incipientes.
- Localización: La ubicación de las manchas blancas en los dientes puede dar pistas sobre su origen. Por ejemplo, si las manchas están en áreas donde la higiene bucal es más difícil de mantener, como alrededor de los brackets de ortodoncia o en los surcos profundos de los dientes, podrían ser el resultado de una higiene dental deficiente.
- Color: el color puede variar desde un blanco no muy evidente, hasta amarillo y marrón, dependiendo del grado de demineralización.
- Historial dental: Siempre es útil considerar el historial dental. Si se han realizado tratamientos de ortodoncia, si ha habido un alto consumo de fluoruro o si hay antecedentes de caries, esto podría influir en la aparición de manchas blancas.

Todas estas características hay que tenerlas en cuenta a la hora de diagnosticar el tipo de mancha.
Normalmente un aspecto muy «mate»con cambio de color a marrón/amarillo es decisivo para elegir un tratamiento más «agresivo» que el ICON.
2. LESIONES EXTERNAS/SUPERFICIE
Lesiones que afectan la superficie son una contraindicación absoluta tanto para ICON que para OPALUSTRE.
En el caso del ICON, se recubrirá la mancha, pero se dejara superficialmente una resina que no tiene translucidez y que siendo «fluida» no tiene el mismo grado de resistencia mecánica y pulido que una resina de composite tradicional.
Con Opalustre, como hemos dicho anteriormente, simplemente «pulimos» de manera mas invasiva que el cepillado, la superficie. Si esta afectada este tratamiento empeoraría solo el cuadro clínico.
Por estos casos es mejor optar otro tipo de tratamiento: restaurar con composite o carillas de cerámica en los casos más graves.

3. DIENTES CON CARIES/RESTAURACIÓNES PREVIAS
La primera contraindicación para estos tratamientos, dada por los mismos fabricante, es la presencia de CARIES o RESTAURACIÓNES FILTRADAS.
El uso de acido clorhídrico en ICON y de las partículas de alúmina en OPALUSTRE, podría proporcionar un empeoramiento de la lesión y el desencadenar de una sintomatología difícilmente controlable, llegando a cuadros clínicos que requieren endodoncias.
Diagnosticar entre lesión incipiente y lesión cariosa, es fundamental para elegir el tratamiento. Vuelve a echar un ojo a la clasificación ICCMS. Aquí te dejo el ARTICULO COMPLETO.

JUSTCOMPO NUEVAS FECHAS PRONTO – PIDE INFO

4. DEFECTOS DEL ESMALTE
Amelogenesis, dentinogenesis, fluorosis son los defectos estructurales más importantes del diente, estos como el apartado anterior, son unas contraindicaciones absolutas para el tratamiento con ICON y OPALUSTRE.
Estos defectos tanto del esmalte como de la dentina, pueden llegar a ser muy difícil de tratar.
Hablaremos de ellos en otro articulo especifico, pero tened en cuenta que no podéis tratarlos con ICON o con OPALUSTRE.

ARTICULO: MANEJO DE PACIENTES CON AMELOGENESIS IMPERFECTA
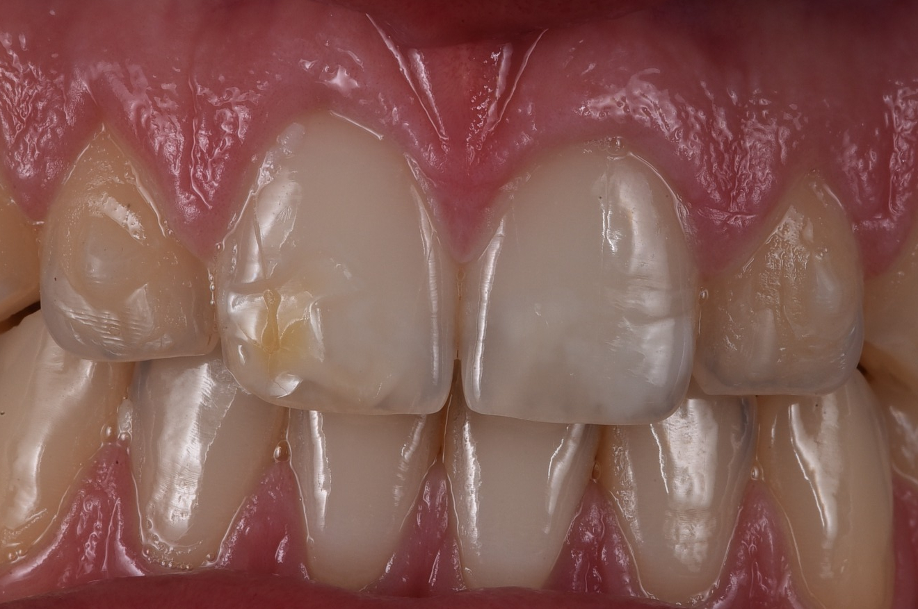
5. DIENTES MUY TRANSLUCIDOS
Aquí nos metemos en el campo de la estética dental puro y duro.
En pacientes con una expectativa estética muy alta y con dientes con una anatomía incisal muy marcada, tenemos que tener en cuenta lo siguiente:
ICON: la resina infiltrada es muy opaca, esto se debe porque su función es remplazar la capa de dentina afectada, y sabemos que esta es responsable de la base del color del diente. En las zonas incisales muy translucidas esto comporta la presencia de una zona «mate» que puede no gustar al paciente, empeorando a veces la estetica del diente tratado.
OPALUSTRE: el pulido deja el diente «mate» o reduce, si se usa de manera un «poco agresiva» la capa mas superficial del esmalte, perdiendo de esta manera la translucidez propia de esta zona.
¿QUE HAGO EN ESTE CASO?
Para resumir os enseño en el CANAL lo que he hecho en este caso:

¿TU QUE HARÍAS AQUÍ?
¿OPALUSTRE, ICON o COMPOSITE?
Te leo! CIAO!





