Si te suele pasar algo así tienes que leer este articulo..
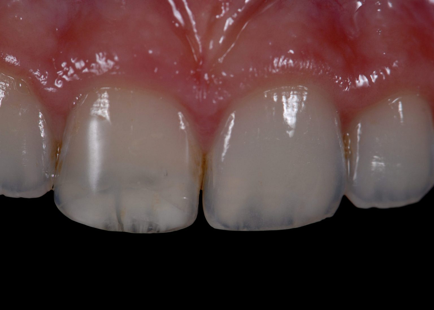
Después de 2 horas intentando copiar este borde incisal, este es el resultado:

¿Pero porque te pasa esto?
Antes de cabrearte, intento explicártelo brevemente:
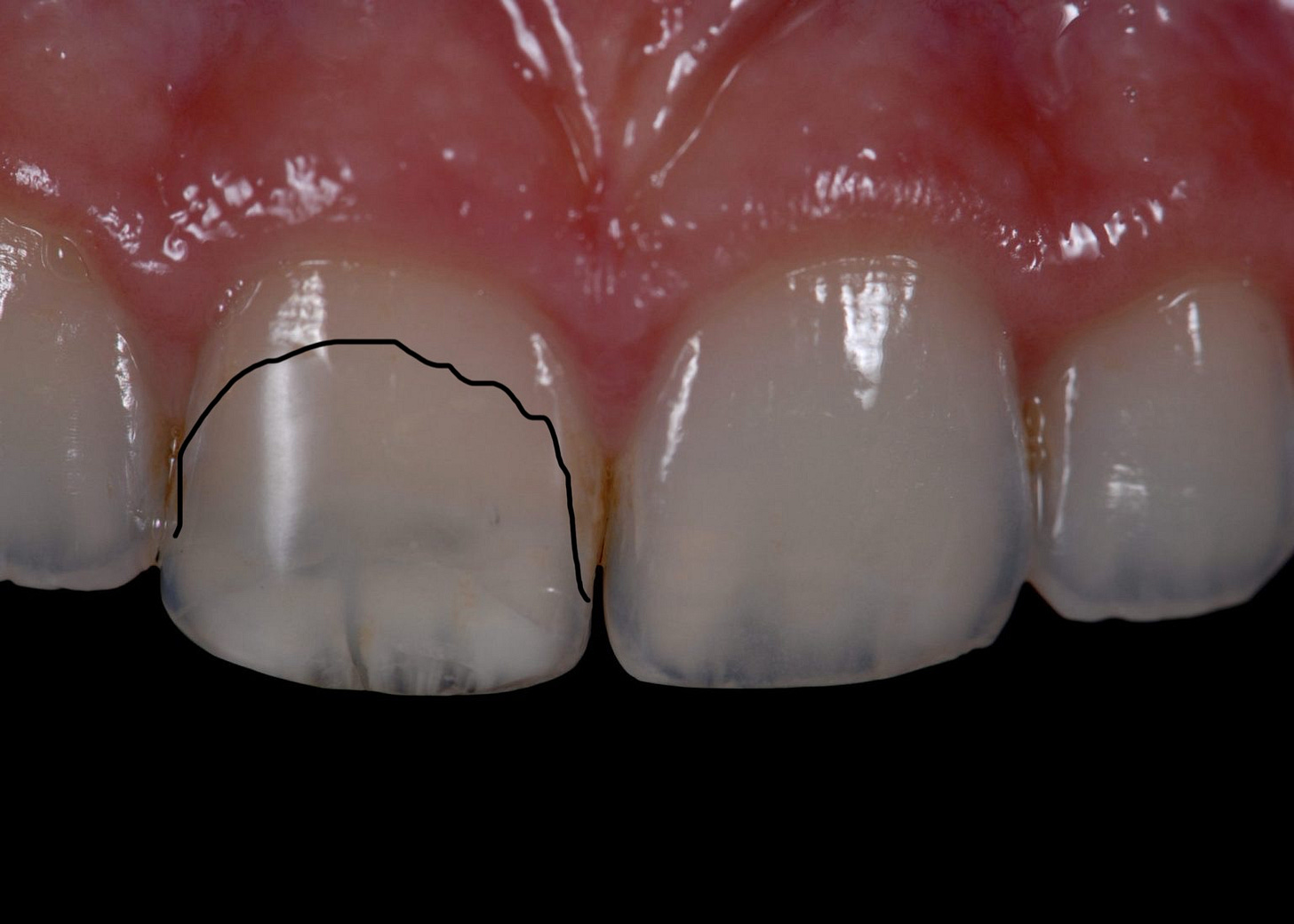
- Analizamos el BISEL: la tendencia todavía es hacer un bisel infinito como explicaba Newton Fahl en el lejano 1997. Pero esto tiene PROs y CONTRAs.

PRO: Extender el bisel hace de manera que tengas más espesor donde jugar con las varias capas del diente y sobre todo (y esto es realmente complicado) que en la interfase no quede como un escalón o una superposición entre esmalte natural y nuestro esmalte.
CONTRA: Claramente es más agresivo y si no tienes un control de los espesores (y sobre todo del esmalte) aumenta el riesgo de empeorar el aspecto de la restauración.
- Espesor de la preparación: tenemos la tendencia, sobre todo al principio, de no querer tocar el diente y por esto no llegamos en ningún momento a tener el espesor adecuado para estratificar un diente complejo como este. Es MUY IMPORTATE recordar los ESPESORES de cada una de las MASAS para poder mezclarlas correctamente. Un EXCESO de ESMALTE significará un diente con un VALOR DISMINUIDO, un EXCESO de DENTINA: un diente con VALOR AUMENTADO como en este caso en concreto. Consejo: haz una preparación que te permita agregar composites por capa y no quedarte a medias.

NUEVA FECHA JUSTCOMPO 24-25 de ENERO en MADRID – MÁS INFO AQUÍ
Índice de contenidos

- Selección de las masas: una cosa que hago mucho hincapié en los cursos, es que cada marca de composite (y dentro de la misma marca) es un mundo. Por ejemplo el ESTELITE de TOKUYAMA, es un composite absolutamente fantástico en cuanto a manejo y pulido, pero tiene un “defecto”: no tiene dentinas de alta opacidad o valor (bueno la incorporaron pero todavía no están a nivel de otras marcas) . Así que si comprar el KIT de Estelite lo más probable que te quedarás corto/a a la hora de intentar igual dos dientes de baja translucidez o cubrir un substrato oscuro.

- Linea de Fractura: esto es otro quebradero de cabeza. ¿Porque no consigo cubrir la maldita linea? Realmente es un conjunto de cosas: a) Lo mismo que hemos dicho: falta de espacio, si no tienes espacio para poner la dentina es prácticamente imposible que tengas espacio para estratificar. b) Escogiste una dentina con poco poder opacador: en lugar de usar la de estelite deberías plantearte una de GC o de 3M que tienen mayor poder opacado a menores espesores. c) El bisel no es correcto o necesitas la ayuda de un opaquer: hay clases IV que interesan capas profundas del diente, y como sabemos la dentina tiende a tener más saturación de dentro a fuera. Si no tienes espacio tienes que saber jugar con los opacadores y con las distintas dentinas. Suena complicado pero realmente si entiendes como funciona, te saldrá todo a la perfección! ARTICULO sobre la SATURACIÓN DE LA DENTINA
Resumiendo:
- Analiza el diente que vas a tratar, teniendo en cuenta los espesores que necesitas para estratificar,
- Elige (con conocimiento) las masas adecuadas de composite según el caso clínico.
- No confíes en un solo sistema porque lo más probable que te quedarás corto: ¡Aprende a dominar los composites no que ellos te dominen a ti!
Y si necesitas profundizar este tema, invitado estas a JUSTCOMPO: el primer curso de estratificación directa en anteriores.
PROXIMA FECHA en MADRID – 24/25 de ENERO 2025
RESERVA TU PLAZA (ya quedan solo 4 DISPONIBLES)

