Blanqueamiento intracoronal en dientes no vitales — Estado actual, debates y protocolo clínico
¿Te sientes seguro en este tipo de tratamiento?

Yo la verdad que considero el blanqueamiento interno un tratamiento realmente complicado que tiene sus riesgos que hay que tener en cuenta. Te explico más a continuación..
No es un simple “poner peróxido y esperar”.
Si algo sale mal —una barrera cervical mal colocada, una filtración apical, una concentración mal elegida— el resultado puede ir desde una recidiva precoz hasta una resorción cervical externa irreversible.
Te explico más a continuación.
Contexto clínico y base biológica
Índice de contenidos
- 0.1 Contexto clínico y base biológica
- 0.2 Evidencia actual y eficacia
- 0.3 Debates clínicos (2023-2025)
- 0.4 Protocolo clínico basado en evidencia (2025)
- 0.5 JUSTBOND: CURSO DE CARILLAS INDIRECTAS 2a Edición
- 0.6 6-7 de Febrero en MADRID – INFO&RESERVAS
- 0.7 Conclusión
- 1 Si lo quieres en PDF , lo tienes descargable aquí
El blanqueamiento interno o walking bleach se indica en dientes endodonciados con tinción intrínseca causada por restos hemáticos, productos de degradación pulpar o materiales endodónticos (Plotino et al., 2008).
Su objetivo es oxidar los pigmentos dentro de la cámara pulpar sin comprometer los tejidos periapicales (Knezevic et al., 2023).
Aunque es una técnica descrita desde hace más de 50 años (Spasser, 1961), sigue generando debate porque combina eficacia estética y riesgo biológico.
La evidencia actual confirma que, bien realizada, es una técnica segura y mínimamente invasiva (Coelho et al., 2020).
Evidencia actual y eficacia
Los estudios clínicos coinciden en que el blanqueamiento interno logra cambios medios de color ΔE superiores a 12 unidades, lo que representa un resultado clínicamente visible y estéticamente relevante (Frank et al., 2022).
Los resultados permanecen estables en torno al 70-80 % de los casos a los tres años, siempre que el sellado coronal sea correcto (Knezevic et al., 2023).
La revisión sistemática de Coelho y colaboradores (2020) concluyó que el walking bleach sigue siendo la técnica más segura y predecible, especialmente frente a las variantes activadas por calor.
Debates clínicos (2023-2025)
1️⃣ Técnica ideal
Las comparaciones entre walking bleach, inside-outside y in-office no muestran diferencias significativas en eficacia (Knezevic et al., 2023), pero sí en seguridad.
La técnica in-office acelera resultados, aunque incrementa el riesgo de resorción (Patel, 2020).
La walking bleach es más lenta, pero predecible y controlable en clínica.
2️⃣ Agente y concentración
El peróxido de hidrógeno al 30-35 % ofrece blanqueamientos rápidos, pero varios autores lo asocian con mayor incidencia de reabsorción cervical, especialmente si se aplica calor (Frank et al., 2022; Patel, 2020).
El perborato de sodio mezclado con suero fisiológico ofrece resultados equivalentes con menor agresividad (Coelho et al., 2020).y esta es una novedad..
3️⃣ La barrera cervical: elemento crítico
Este es el punto más relevante.
Debe colocarse una barrera de 2-3 mm por encima de la gutapercha, justo bajo el límite cemento-esmalte.
El ionómero de vidrio sella químicamente la dentina y libera flúor, mientras que la resina fluida fotopolimerizablepermite mayor control de espesor y resistencia (ProQuest, 2023).
Ambos materiales previenen la difusión del agente hacia el ligamento periodontal, reduciendo el riesgo de resorción cervical externa (Plotino et al., 2008).
4️⃣ Estabilidad cromática y recidiva
Las recidivas aparecen en el 20-30 % de los casos tras 3-5 años (Coelho et al., 2020).
Las causas principales son tinciones profundas, sellados coronales deficientes o materiales endodónticos teñidos.
Protocolo clínico basado en evidencia (2025)
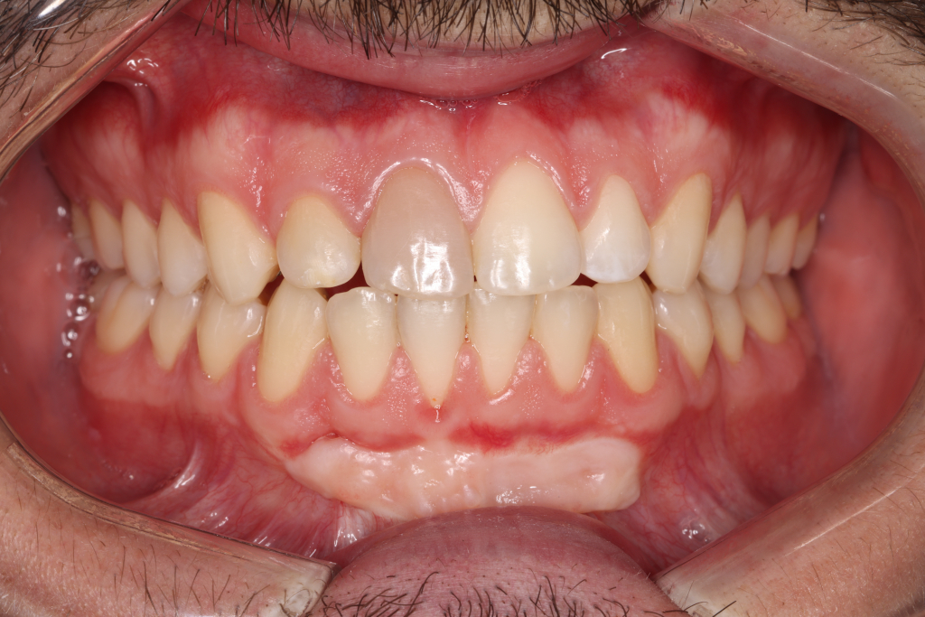
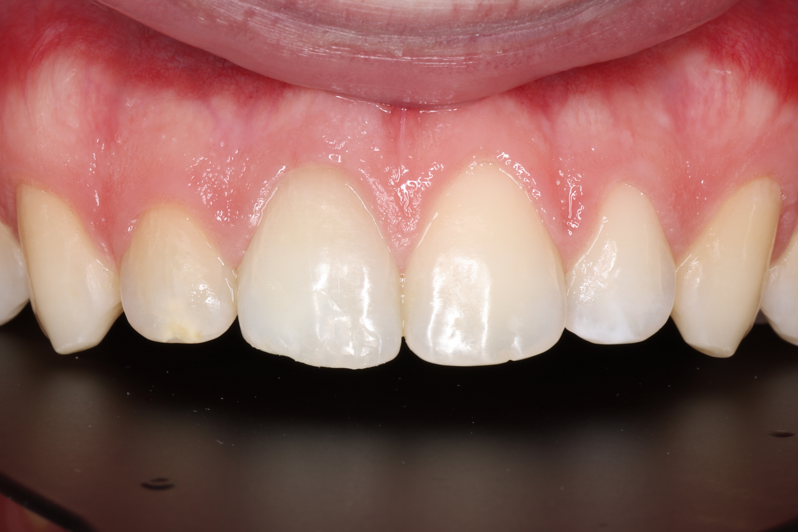
Os lo cuento a través de este caso hecho en el Master de Estética Dental de la Universidad Europea.
1. Evaluación inicial
- Comprobar obturación radicular adecuada y ausencia de lesiones apicales.
- Excluir dientes con filtraciones o fisuras.
- Foto con toma de color inicial, muy importante distinguir entre diente gris y dientes marrón, ya hablaré en otro articulo.


2. Aislamiento y acceso
- Colocar dique de goma.
- Retirar 2-4 mm de gutapercha por debajo del límite cemento-esmalte.
- Colocar barrera cervical (ionómero o cemento resinoso dual, 2-3 mm). De la diferencia hablaré también en otro articulo, los dos de momento podéis utilizarlos.


3. Aplicación del agente blanqueador
- Preferido: perborato de sodio + suero fisiológico.
- Alternativa: H₂O₂ 30-35 %, sin activación térmica externamente e internamente en este caso.

4. Sellado temporal
- Rellenar la cámara y sellar con ionómero o composite provisional.
- Dejar actuar 7-14 días (“walking bleach”).
- Reevaluar el color y repetir si es necesario.
JUSTBOND: CURSO DE CARILLAS INDIRECTAS 2a Edición
6-7 de Febrero en MADRID – INFO&RESERVAS
PLANIFICACIÓN 3D – MOCKUP – PREPARACIÓN NO INVASIVA/BOPT – PROVISIONALES – AISLAMIENTO ABSOLUTO – CEMENTADO – GESTION de las COMPLICACIONES

5. Sellado definitivo
- Eliminar completamente el agente.
- Lavar con suero + alcohol etílico.
- Secar, acondicionar, aplicar adhesivo y restaurar con composite estético o ionómero modificado con resina.


6. Seguimiento
- Revisar a 1 mes y 6 meses.
- Vigilar reabsorciones o recidivas cromáticas.
- En caso de recidiva leve, repetir un ciclo corto (5-7 días).
Conclusión
El blanqueamiento interno no es una técnica sencilla ni rutinaria.
Es un tratamiento biológicamente sensible que exige control absoluto de aislamiento, sellado y materiales.
Si se ejecuta correctamente, permite recuperar la estética sin tallar ni recurrir a restauraciones indirectas.
La clave no está en el peróxido, sino en el control del detalle:
barrera, aislamiento y respeto de los tiempos.
Si lo quieres en PDF , lo tienes descargable aquí
Referencias
- Coelho, A. S., Garrido, L. M., Manso, A. P., Carvalho, Á., & Monteiro, P. (2020). Non-vital tooth bleaching techniques: A systematic review. Coatings, 10(1), 61.
- Frank, A. C., Segal, E., & Ramos, V. (2022). Comparison of the bleaching efficacy of different agents used for internal bleaching. Journal of Endodontics, 48(2), 171-178.
- Knezevic, N., Zizic, G., & Cerjak, I. (2023). Clinical testing of walking bleach, in-office, and combined bleaching of endodontically treated teeth. Journal of Endodontics, 49(3), 345-352.
- Patel, K. (2020). Endo Expert – Non-Vital Tooth Whitening. Dentistry.co.uk, 5 Nov 2020.
- Plotino, G., Buono, L., Grande, N. M., Pameijer, C. H., & Somma, F. (2008). Nonvital tooth bleaching: a review of the literature and clinical procedures. Journal of Endodontics, 34(4), 394-407.
- ProQuest (2023). Non-vital tooth bleaching techniques – systematic review and clinical safety data. ProQuest Central, Document ID 2548331348.




