Cada dia mas paciente me piden un diseño de sonrisa con carillas dentales, desconociendo las características de cada una, las indicaciones y las contraindicaciones.
En esta serie de artículos hablaremos del porque a largo plazo carillas de composites y carillas de ceramica se portan de manera distinta, apoyándonos a la bibliografia científica y en la evolución de algunos casos clínicos reales.
1) ¿Cuál es la diferencia química entre composite y ceramica?
Índice de contenidos
Primero hay que hacer una distinción tan basica cuando a veces poco «clara»
El composite es una resina (ósea una matriz organica) «rellena» de una matriz inorganica, que a partir de ahora llamaremos «filler», que químicamente correspondes a partículas de minerales que confieren al composite dureza y estabilidad. Por esto suelen llamarse también «resinas compuestas», ósea resinas modificadas químicamente con partículas. Un material que podemos comparar al composite es el plastico. Como sabéis hay muchos tipos de plastico, desde la bolsa de la basura hasta los pantallas de plastico que utiliza la policia para defenderse.
Los composites dentales suelen clasificarse según el tipo y el porcentaje de filler que contienen. En este articulo os explico un poco más detenidamente sobre el tema.

La ceramica dental se compone básicamente de óxidos metálicos que, combinados o solos, se sinterizan a altas temperaturas para obtener una pieza sólida, con un reducido número de poros y resistente mecánicamente. Para resumir: se trata de pura matriz inorganica. Podemos prácticamente compararla a un plato de la mesa o una botella de cristal.
Ahora os hago una pregunta, que puede parecer tonta, pero el objetivo de este articulo es explicaros la diferencia entre carillas de composite y carillas de ceramica de la manera más sencilla posible.
¿Que pasa si dejo una botella de plastico y una botella de cristal en agua de mar?
Ya sabemos que desafortunadamente por nuestro ecosistema ambos materiales tardan muchísimo en degradarse completamente. Se estima que una botella de plastico tarda en degradarse en la mar unos 400-500 años y una de cristal casi 4000 años!!
¿Por qué os hago justo este ejemplo?
Porque la mar se parece un poco a nuestra saliva, que es una solución salina, llena de moléculas (entre todas bacterias y células de la inmunidad) y de residuos orgánicos y a veces inorgánicos, con el agravante de estar a una temperatura que oscila entre 36-38 grados.

Mientras la ceramica dental, que en este ejemplo es nuestra botella de cristal, siendo un material inorganico al 100% y tratado a altas temperaturas, sus características mecánicas y ópticas no cambiaran a lo largo de los años (a menos que esperemos más de 2000 y no es el caso)
Si el composite dental es claramente nuestra botella de plastico, sumergido en esta mar, con el tiempo irá perdiendo algunas características mecánicas y ópticas, entre ellas la resistencia, la elasticidad, el pulido y sobre todo cambiará su volumen debido a una fenomeno que se llama absorción de agua, que es relacionado con su composición organica, ósea la parte resinosa.
Vamos a hablar de la absorción de agua y de sus consecuencias en nuestras carillas de composite.
2) Absorción de agua, el verdadero responsable de la degradación de las carillas dentales de composite
Desafortunadamente los efectos de la absorción de agua en las carillas de composite no es un tema lo suficiente estudiado, falta bibliografia con alta evidencia científica.
Este articulo clásico, hablamos del 1984, habla de la diferencia entre matrices orgánicas y de como influyen en la estabilidad dimensional de las resinas compuestas:

Los autores del articulo concluyen que:

Los composites dentales basados en resinas con un organización de la matriz organica, son más estables a las deformaciones debidas a la absorción de agua.
También hacen hincapié, y hablamos de un articulo del 1984, que también la matriz inorganica o filler, toman un papel importante en este fenomeno.
En este otro articulo basado en un estudio en vitro, los autores subrayan como la absorción de agua es capaz de disminuir las características mecánicas y ópticas de los composites dentales una vez en boca.


Comparan también unas marcas de composites dentales, para ver como responde cada una a este fenomeno, pero no encuentran diferencias significativas.

Concluyen que todos los composites estudiados si que ganan peso debido a la absorción de agua.
Sobre todo durante la primera semana, que como veremos es critica para la estabilidad de nuestros composites en la boca de nuestros pacientes
No encuentran ninguna diferencia entre las tres marcas de composite dental estudiadas.
En artículos más nuevos que estudiaremos más a fondo en el CURSO JUSTCOMPO hablaremos más a fondo de los factores de tener en cuenta a la hora de escoger los composites para nuestras carillas dentales.
3) ¿Que afecta a nivel clinico el fenomeno de la absorción de agua en nuestra carillas dentales de composite?
A nivel clinico claramente nuestras carillas de composite se verán afectadas por la absorción de agua bajo 3 aspectos:
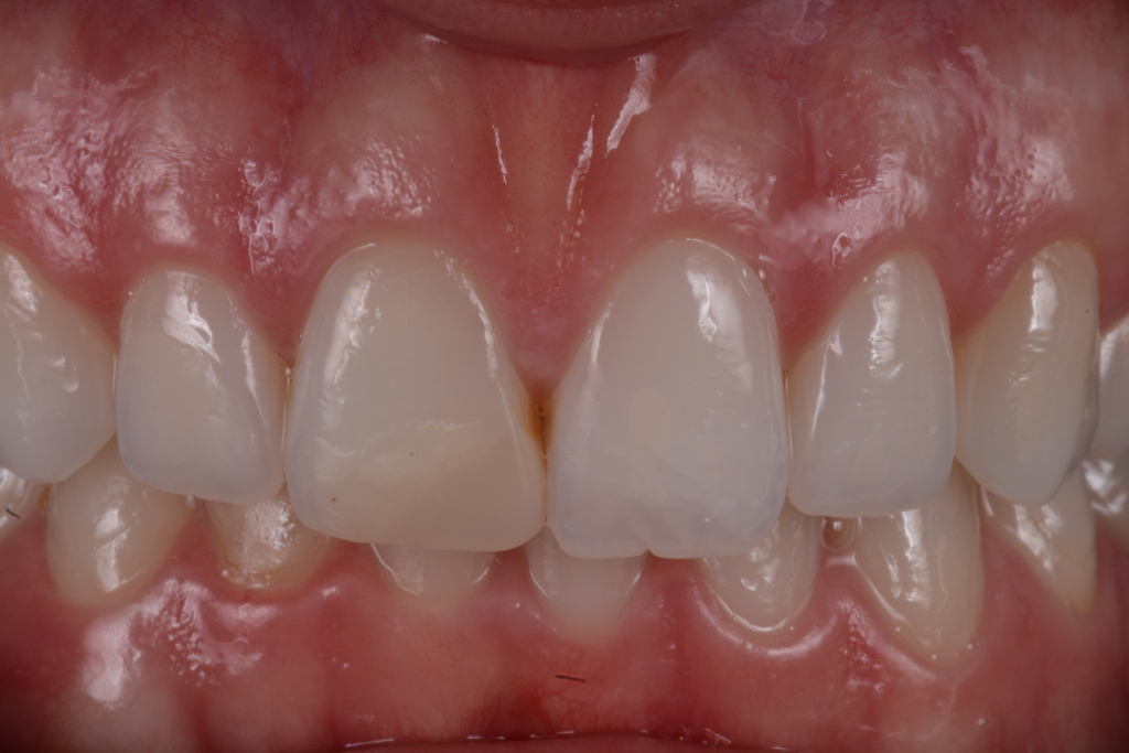
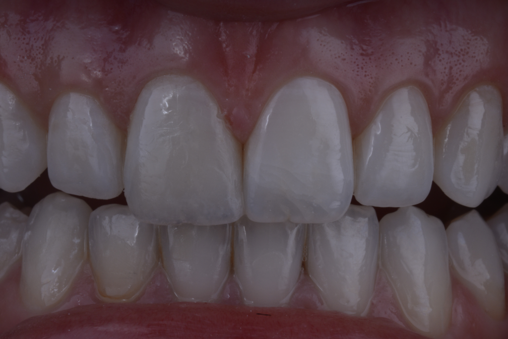
a) PERDIDA DE RESISTENCIA MECANICA: en las zonas incisales, necesitamos siempre un composite que sea resistente para no pase algo similar a este caso que os pongo




En este caso la paciente acudió a la clinica tras 3 años desde el día que le realicé el tratamiento porque se le había partido la «esquinita» del incisivo central derecho. Esto traducido a nivel químico, es que hemos perdido algo de resistencia en esta zona, porque la paciente no refiere haber hecho un uso incorrecto de la restauración (decidimos siempre confiar en los pacientes).
b) PERDIDA DE PULIDO: no notamos una perdida de pulido grave, el composite ha sido bien cuidado por la paciente, como el resto de sus dientes.
c) El COMPOSITE PARECE LEVANTADO: con respecto a la superficie del diente. Como si se hubiera creado un gap entre el composite y el resto del diente, pero sobre todo se nota como la resina ha aumentado su volumen. Esto si que nos parece debido a la ABSORCIÓN DE AGUA POR PARTE DEL COMPOSITE.
En el próximo articulo os voy a hablar más sobre el tema y sobre como evitar este tipo de problema.
Para saber más sobre cuales son las mejores marcas de composites estéticos para carillas dentales, !participa a JUSTCOMPO, el primer curso de estratificación directa en anteriores, donde te cuento todos mis tips sin secretos!






