¡Hola a todos !
Hoy quiero enseñaros un caso de Alargamiento Coronario y Carillas de cerámica con técnica BOPT que me regaló bastantes dolores de cabeza…
NO TE PIERDAS NINGUNO DE MIS ARTICULOS: APUNTATE A LA NEWSLETTER
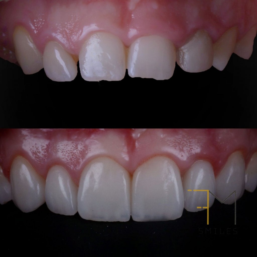
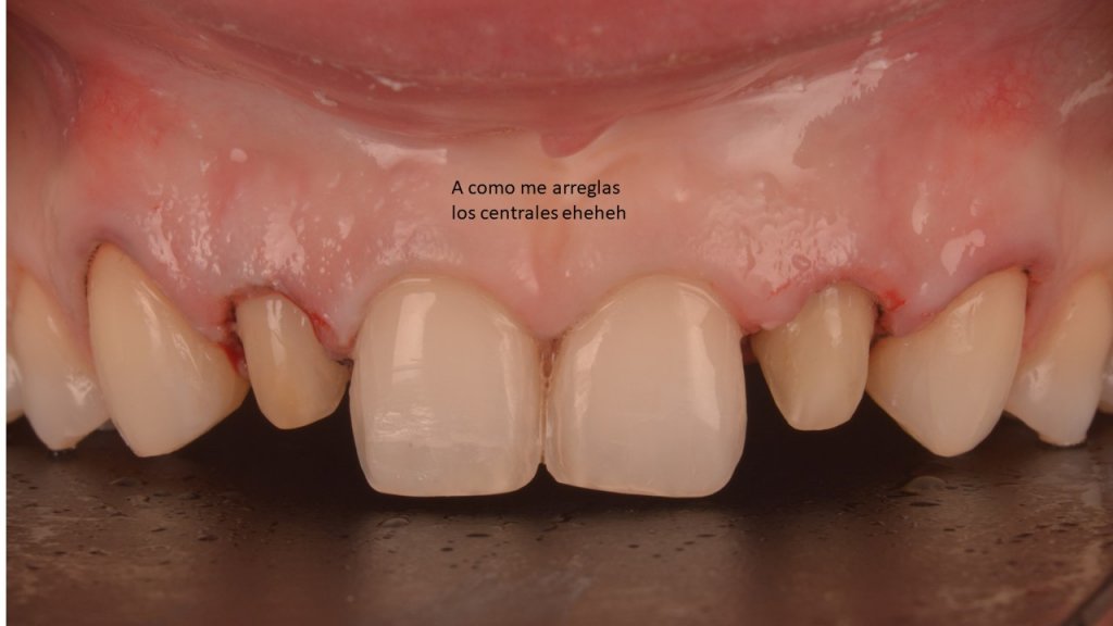
BASELINE – La paciente viene pidiendo estética y MUCHA
Índice de contenidos
La paciente M. de 25 años, acude a mi consulta con mucha gana de arreglar sus dientes.
Me cuenta que ya en pasado, a los 18 años, se sometió a una ortodoncia y intentar enmascarar la microdoncia de los laterales con unas «carillas cerámicas». Esto era el resultado de dicho tratamiento:


La paciente rechazaba cualquier tipo de tratamiento ortodontico (por cansancio y porque trabaja cara al publico), tras mucho esfuerzo consigo convencerla a ponerse ortodoncia al menos en la arcada inferior para aprovechar de estos espacios para ganar resalte y corregir la sobre mordida y sobre todo poder generar una guía canina una vez completado el tratamiento restaurador.
SI la Estética dental es algo más complicado que hacer CARILLAS
ORTODONCIA
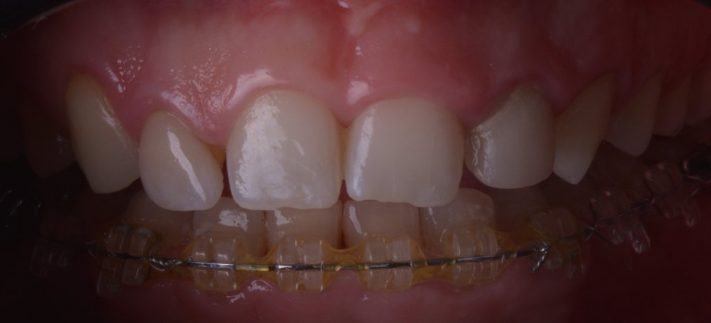
Tras 12 meses de ortodoncia, llevada a cabo por mi colega la Dra. Celia Pisonero (un bravo por ella), conseguimos nuestro objetivo:


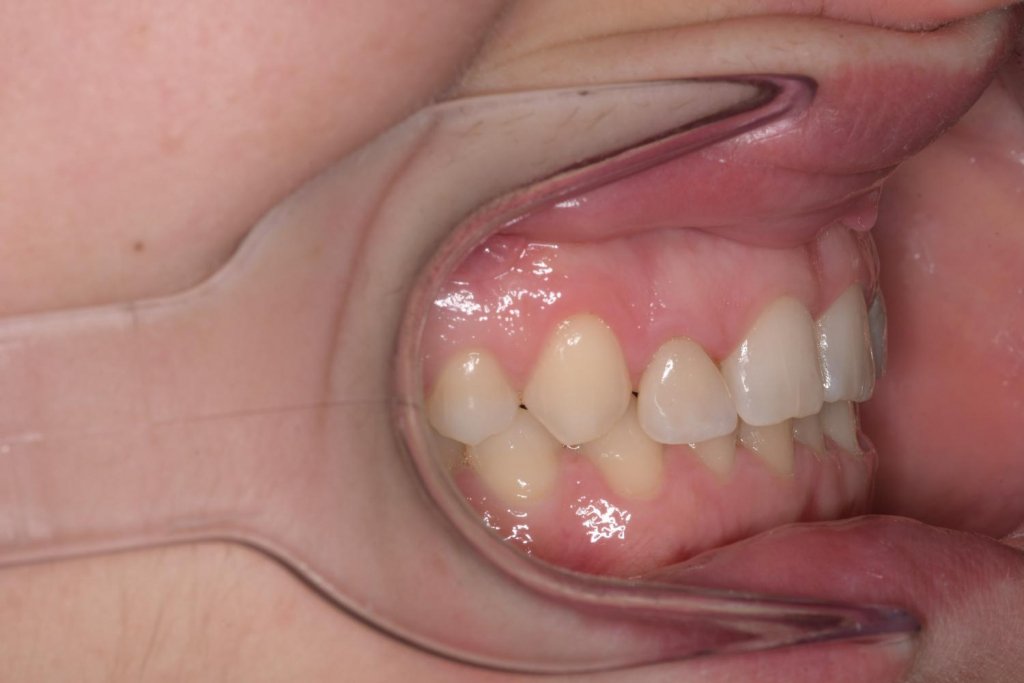
Esto es el resultado después de la ortodoncia, no os dejéis engañar por la gingivitis de los inferiores, es tras la retirada.
PLANIFICAMOS NUESTRO DISEÑO DE SONRISA y nuestra «Cirugía
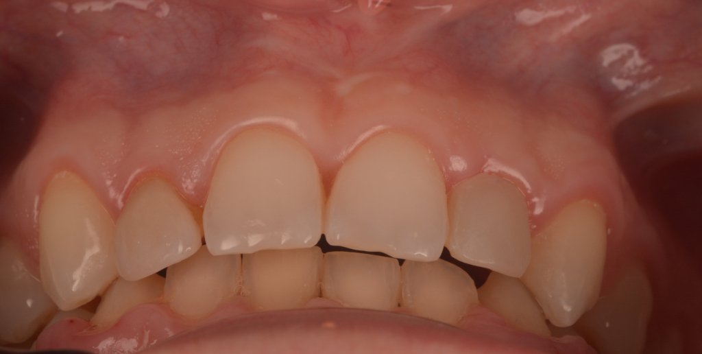
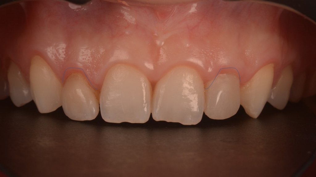
Antes de la retirada había alargado los dientes a través de una cirugía «semiabierta», para regularizar el festoneado gingival:

El inconveniente es que la encía, con un torque ridículo lingual de la raíz y la carilla desadaptada, volvía continuamente a bajar al no tener soporte.

Todos sabemos que el Mock-up es fundamental para revisar cositas y mejorar el resultado. Pero en este caso decidí utilizarlo también como soporte para estos dos cenits «recidivantes»
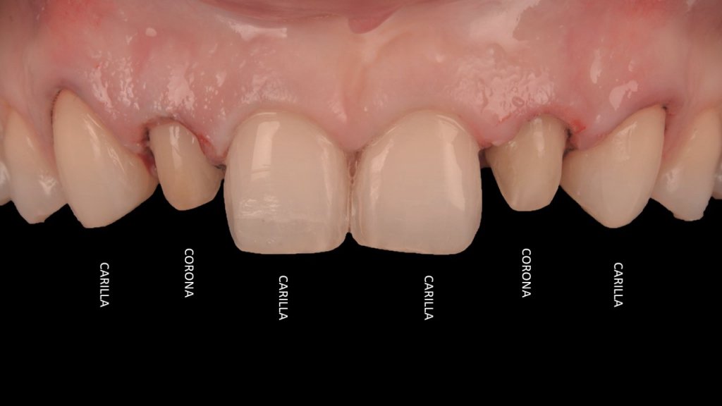
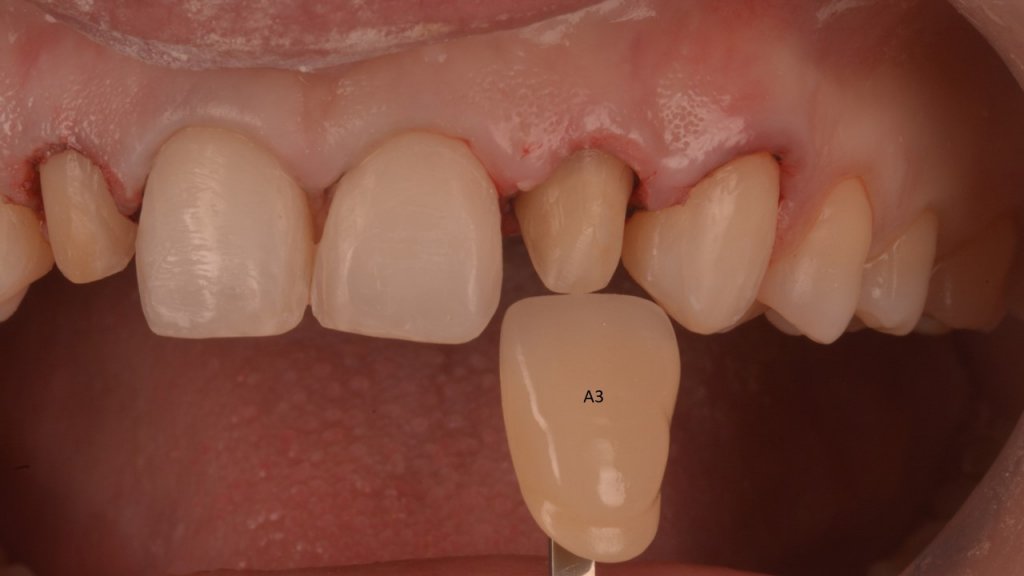
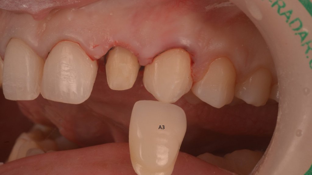
VAMOS A PREPARAR – En vertical cuando se pueda
La Re- preparación de las antiguas carillas me deja sin esmalte (un clásico vamos), así que por cuanto no me guste estoy obligado a preparar a coronas. Todo en VERTICAL por supuesto, no hablamos de BOPT en este caso porque me salté la clásica fase de los provisionales.

Entre fotos no pierdo nunca la ocasión para decirle cositas a Nacho ejejejej


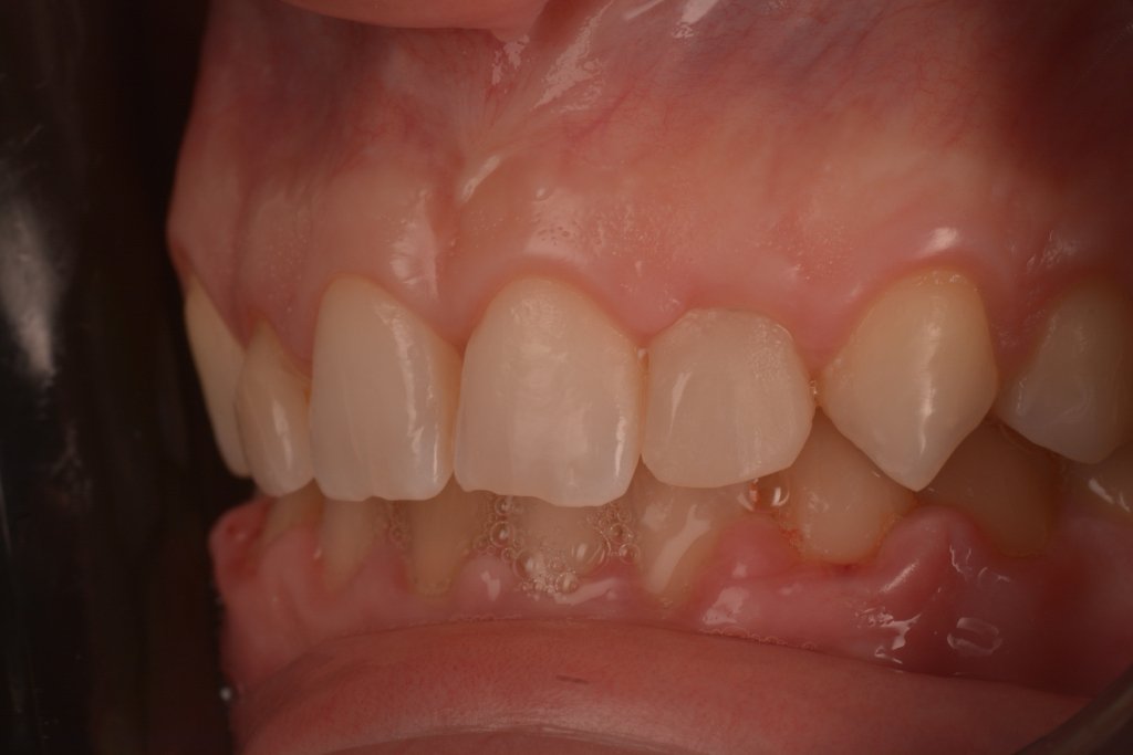
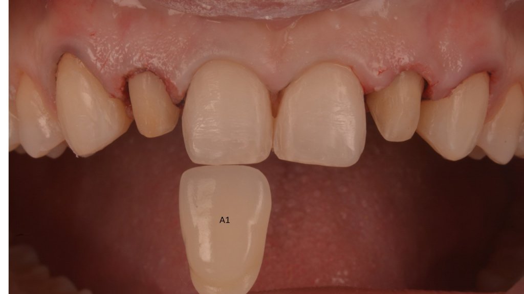
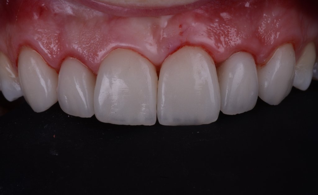
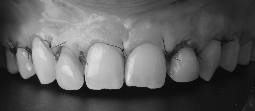
CEMENTADO y Dolores de cabeza
El momento más «bonito» para ti, para la paciente, para la auxiliar (Karla), y para Nacho…a ver si no rompemos sus MARAVILLAS (pero la culpa es siempre mía, que tallo cada vez menos)
(

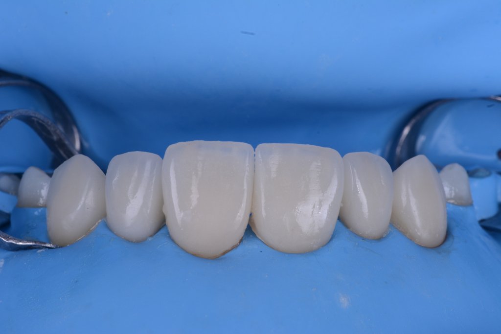
Y vamos de Azul (NIC TONE) sin linea de terminación, sufrimos el doble..no tenemos donde agarrar el Clamp y sobre todo donde realmente termina la carilla…



Voy siempre de 2 en 2, claramente cemento antes las Coronas, que me ayudaran a «clampar» y luego las carillas. Pero normalmente empiezo con los laterales que están en el medio y suelen robar el espacio a los otros



Tomaros vuestro tiempo para limpiar bien bien, no os vais a arrepentir en la vida..


Keep calm trás la retirada del Dique, esta encía volverá a su sitio (si habéis hecho bien la cirugía por supuesto).
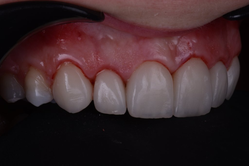
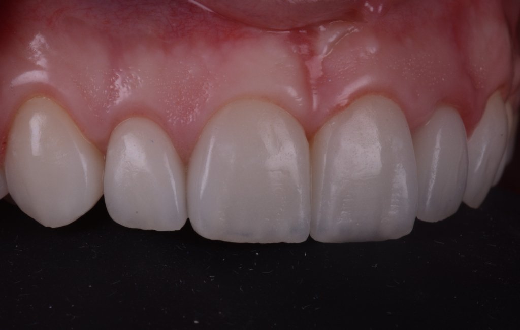
2 SEMANAS DESPUÉS

No me asusta esta ligera inflamación, al revés se que están pasando cosas buenas, la encía se esta estabilizando y engordando según los principios de la técnica BOPT. Así que tengo tiempo para disfrutar simplemente del trabajazo de Nacho.


Pero yo quiero saber más del tema, ¿QUE HAGO?
La respuesta es sencilla, simplemente DEJAME TU CORREO
PRONTO LANZARÉ CURSO de tratamiento de la Erupción Pasiva alterada y Carillas BOPT completamente ONLINE






