¡Lo prometido es deuda!
Os dije que os iba a hablar de esta técnica a “escaleras” para enmascarar la línea de fractura en nuestras clases IV y aquí lo tenéis, espero que os guste y que podáis aplicarlo en vuestro día día.

TOMA EL COLOR ANTÉS QUE NADA
Índice de contenidos
Recordad que lo primero a la hora de empezar vuestras restauraciones en composite, es tomar el color, antes que el diente se deshidrate…
Yo suelo hacerlo con las pelotas de composite, con la guía de colores de los mismos composites o con la grey shade card. Pero es fundamental siempre utilizar el Filtro Polarizado.
Pronto hablaremos de manera más detallada de la toma de color. Mientras puedes aprender sobre la fotografía dental, a través de nuestro “Curso de fotografía Dental avanzada” ya disponible en la sección Academy.

EL BISEL INFINITO
La técnica más utilizada es la de “Bisel Infinito” para esconder nuestras líneas de fracturas propuesto por el Dr. Newton Fahl Jr.
Se trata de un bisel profundo que llega a dentina, de 45 grados con respecto al eje del diente, y se extiende a medida que nos acercamos a cervical, de manera más superficial, llegando en la mayoría de las ocasiones a tocar el diente entero.



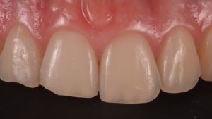
En situaciones como el caso que os voy a presentar, donde el borde incisal si esta fracturado, pero es una fractura mínima, siempre me ha sentado mal llegar a tocar toda la superficie vestibular del diente.
LA STAIRCASE TECHNIQUE
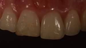
Empecé a profundizar más mi primera preparación, hasta hacer unos escalones super pequeños (de aquí el nombre staircase) donde la luz se vaya perdiendo entre las grietas permitiéndome enmascarar la línea de fractura, gracias a la opacidad de una dentina o de un opaquer.
Luego la estratificación deberá seguir las normas generales, midiendo continuamente los espesores para una correcta estratificación un efecto óptico aceptable de nuestra restauración.



La linea naranja es la que delimita nuestra preparación con Bisel infinito, como veis en este caso se trata de una preparación demasiado agresiva.


Con la preparación «Staircase» disminuimos muchísimo la superficie de la preparación, profundizando las líneas y dejando el espacio necesario para la estratificación.

Como veis nuestra preparación (línea azul es mínima, justo 1 mm con respecto a la línea de fractura (línea negra). Por otro lado el bisel infinito (línea naranja) hubiera sido seguramente una opción mucho más agresiva!

JUST COMPO
Está casi listo el Curso “JustCompo”, el curso integral sobre el manejo del composite en el sector anterior. RESERVA TU PLAZA
Hablaremos de esto y de muchos más TIPs para conseguir resultados excelentes a través de este magnífico material.

SI TE HA GUSTADO ESTÉ ARTICULO, PONME UN LIKE!
Si nos has entendido algo, y quieres que haga un video explicando este caso, COMENTALO AQUÍ ABAJO o en mi Foto de INSTRAGRAM!
CIAU!





